
Eine Carotisstenose ist eine Verengung der Halsschlagader, die das Gehirn mit Blut versorgt. Ursache sind meist Ablagerungen in den Gefäßwänden (Arteriosklerose).
Das Gefährliche: Durch die Engstelle können sich Blutgerinnsel lösen, die einen Schlaganfall auslösen. Schlaganfälle sind eine der häufigsten Ursachen für bleibende Behinderungen – oft lassen sie sich jedoch durch rechtzeitige Diagnostik und Therapie verhindern.

Die Wahrscheinlichkeit, eine Carotisstenose zu entwickeln, steigt bei:
Erhöht das Risiko für Gefäßablagerungen erheblich
Schädigt die Gefäßwände langfristig
Fördert Ablagerungen in den Arterien
Beschleunigt Gefäßerkrankungen
Belasten das Herz-Kreislauf-System
Genetische Faktoren für Gefäßkrankheiten
Die Kontrolle und Behandlung dieser Risikofaktoren ist entscheidend, um das Schlaganfallrisiko zu senken.
Eine Carotisstenose bleibt häufig lange unbemerkt. Warnzeichen können sein:

Unsere moderne Gefäßdiagnostik kombiniert strahlungsfreie Sonografie mit hochauflösender MRT für maximale Sicherheit.

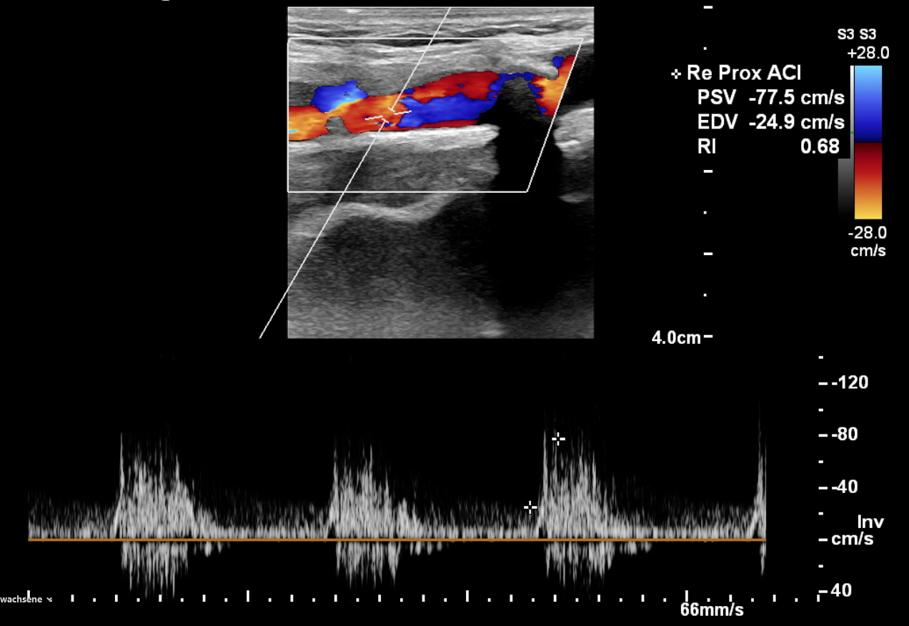
Das erste diagnostische Fenster zeigt den Blutfluss in Echtzeit. Die farbliche Darstellung (Farbduplex) erlaubt es uns, Turbulenzen sofort zu erkennen.

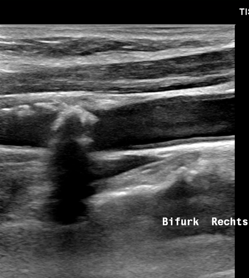
An dieser Gabelung teilt sich der Blutstrom Richtung Gehirn und Gesicht. Hier entstehen statistisch die meisten Ablagerungen.

Das "große Bild": Eine dreidimensionale Darstellung des gesamten Gefäßbaums vom Hals bis tief in den Schädel – ganz ohne Röntgenstrahlungbelastung.
ℹ Der weiße Pfeil im Bild korreliert exakt mit dem Ultraschallbefund.
Die Behandlung richtet sich nach dem Ausmaß der Verengung und dem individuellen Risiko:

In ausgewählten Fällen Einsetzen eines Stents in die Halsschlagader

Bei hochgradigen Stenosen ist eine Operation die sicherste Methode, um das Schlaganfallrisiko deutlich zu senken
Die notwendigen Operationen führe ich persönlich im Asklepios Klinikum Nord Hamburg durch, einem spezialisierten Zentrum für Gefäßchirurgie.

Die erforderlichen Operationen führe ich persönlich im Asklepios Klinikum Nord Hamburg durch – einem spezialisierten Zentrum für Gefäßchirurgie.