
Früherkennung und moderne Behandlung für maximale Gefäßsicherheit
Ein Aortenaneurysma ist eine krankhafte Erweiterung der Hauptschlagader (Aorta). Sie kann im Brustbereich (thorakales Aneurysma) oder im Bauchraum (abdominelles Aneurysma) auftreten. Die größte Gefahr besteht darin, dass die Gefäßwand reißt – dann entsteht ein akuter, lebensbedrohlicher Notfall, den wir durch Früherkennung und gezielte Behandlung vermeiden wollen.
Ein Aortenaneurysma bleibt häufig lange unbemerkt, da es zunächst keine typischen Beschwerden verursacht. Viele Betroffene wissen daher nicht, dass sich ihre Hauptschlagader gefährlich erweitert hat. Wird ein Aneurysma rechtzeitig entdeckt, können wir mit modernen, schonenden Verfahren das Risiko eines Risses deutlich senken und ernste Komplikationen verhindern.
Gezielte Früherkennung reduziert Ihr Risiko – besonders bei bekannten Risikofaktoren.
Für Männer ab 65 Jahren wird eine einmalige Ultraschalluntersuchung zur Früherkennung eines Bauchaortenaneurysmas empfohlen. Bei Risikofaktoren wie Rauchen, Bluthochdruck, Arteriosklerose oder familiärer Vorbelastung ist eine frühere und regelmäßige Kontrolle sinnvoll – insbesondere, wenn bereits Gefäßerkrankungen bekannt sind.
Präzise Bildgebung für eine sichere Planung der Aortenaneurysma-Therapie.

Schmerzfreie, strahlungsfreie Untersuchung der Aorta zur ersten Einschätzung von Größe, Form und Ausdehnung des Aneurysmas.
Hochauflösende, kontrastmittelgestützte Schnittbilddiagnostik zur exakten Bestimmung von Größe, Lage und Verlauf des Aneurysmas sowie der angrenzenden Gefäße.
Strahlungsfreie Alternative zur detaillierten Darstellung der Gefäße – insbesondere geeignet bei speziellen Fragestellungen oder Kontraindikationen für CT-Kontrastmittel.
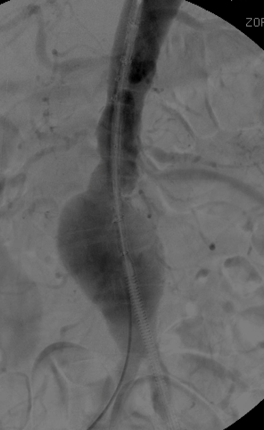
Anhand dieser hochauflösenden 3D-Rekonstruktionen aus dem CT können Sie den Erfolg der Behandlung Schritt für Schritt nachvollziehen. Wir nutzen minimal-invasive, endovaskuläre Verfahren, um die gefährliche Erweiterung der Hauptschlagader dauerhaft auszuschalten – häufig ohne den Brustkorb oder Bauchraum großflächig eröffnen zu müssen.
Vorher–nachher im direkten Vergleich: So wird aus einem Risiko wieder ein sicherer Blutfluss.
Links sehen Sie das gefährliche Aneurysma als 3D-Modell. Rechts der Blick des Operateurs: Das Kontrastmittel markiert genau den Verlauf der Aorta und zeigt, wie kritisch die Erweiterung ist.
Links wird der Stent-Graft präzise positioniert und entfaltet. Rechts sehen Sie das Ziel der Behandlung: Das Blut fließt sicher durch die Prothese, das Aneurysma ist vom Blutstrom entkoppelt und damit weitgehend entschärft.
Individuelle Behandlungsstrategie – abgestimmt auf Größe, Lage und Risiko des Aneurysmas.

Bei kleineren, stabilen Aneurysmen zur engmaschigen Überwachung und Stabilisierung des Verlaufs.

Moderne Standardmethode bei geeigneter Gefäßanatomie und häufig erste Wahl bei älteren oder vorerkrankten Patientinnen und Patienten.

Bewährtes Verfahren, insbesondere bei komplexer Anatomie oder wenn eine endovaskuläre Versorgung nicht möglich ist.

Die erforderlichen Operationen führe ich persönlich im Asklepios Klinikum Nord Hamburg durch – einem spezialisierten Zentrum für Gefäßchirurgie mit hoher Erfahrung in der Aortenaneurysma-Chirurgie.